Dental Bridge
New York added on 27-07-2020, Classified number: 80954

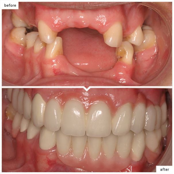
A bridge can take the place of teeth you’ve lost through a sports injury, car accident or fall. When comparing a dental bridge vs. implant, there are pros and cons to each treatment. If you ask Dr. John Koutsoyiannis at New York City Sohosmile how long a dental bridge lasts, you may be surprised to learn how durable they are with proper treatment. Get the facts before you make a decision. Contact Sohosmile for evaluation and expert advice.
A dental bridge is a common solution for tooth loss. When you lose a tooth for any reason — from an injury or from an advanced periodontal disease that requires the tooth be extracted — you’re left with an empty space in your mouth. If you do nothing, you run the risk of a skewed bite, as the neighboring teeth may migrate into the empty spot.
By fitting you with a bridge, Dr. John introduces an artificial tooth into your mouth to fill the space. The new tooth keeps the rest of your teeth aligned and your bite sound. You can get a bridge to replace one tooth or a span of consecutive teeth. And you don’t need surgery to fit a bridge between your teeth.
Read more here: https://www.sohosmile.com/cosmetic-dentistry/dental-bridge-lower-manhattan-downtown-nyc/
Soho Smile
206 Spring Street, 5th Floor,
New York, New York 10012
(212) 334-7330
https://www.sohosmile.com
Working Hours:
Monday: 9:00 am – 5:00 pm
Tuesday: 9:00 am – 7:30 pm
Wednesday: 9:00 am – 7:30 pm
Thursday: 9:00 am – 6:30 pm
Friday: 9:00 am – 5:00 pm
Saturday: Closed
Sunday: Closed
Payment: cash, check, credit cards.
Our social links:
https://www.facebook.com/SohoSmile/
https://twitter.com/sohosmile
https://www.linkedin.com/company/soho-smile
https://www.instagram.com/soho_smile_ny/
https://www.youtube.com/channel/UC7sRK3aa9EUgO_6UBMkaJoQ
https://www.yelp.com/biz/soho-smile-manhattan
https://sohosmile.tumblr.com/
https://www.pinterest.com/sohosmile
https://www.flickr.com/people/183217444@N06/
Find us at: https://www.healthtap.com/experts/40190849-dr-john-koutsoyiannis
Also you can find us on Google maps: https://g.page/cosmetic-dentist-NYC-downtown-ny
Please stay SAFE
- DO NOT SEND MONEY USING Western Union, MoneyGram or Cryptocurrencies like Bitcoin, Ethereum etc TO PERSONS OR COMPANIES YOU DO NOT KNOW. WE WON'T BE ABLE TO GET YOUR MONEY BACK.
- Keep things local by meeting face to face
- Don't carry large sums of money with you the first time you meet someone. For expensive items, go to the bank with the seller to make the payment
- Our advice is to pay only when the product is delivered (cash on delivery).





Views: 433

